近日,市四医院甲状腺乳腺外科连续接诊两例由骨科中心、呼吸与危重症医学科转入的急危重症患者。两位患者均因巨大甲状腺肿物导致气管严重受压,病情隐匿却进展迅速,随时面临窒息风险。经多学科团队(MDT)紧密协作,医院迅速启动急诊绿色通道,成功实施高难度手术,帮助患者转危为安。
病例一:摔伤住院后突发心跳骤停,元凶竟是甲状腺肿物
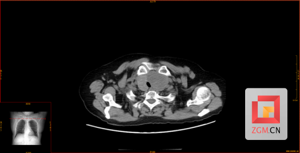
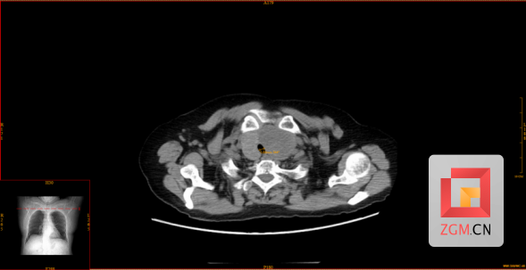
今年71岁的刘阿姨,因“摔伤致踝关节疼痛”被送到市四医院骨科中心救治。住院期间,患者突发气道梗阻,随即出现呼吸、心跳骤停。经过多学科团队的紧急抢救,患者的生命体征和意识已经恢复。随后进行的影像学检查揭示病因:甲状腺左叶存在一巨大肿物,大小约6.4×5.56×4.13cm,气管受压变窄,最窄处仅约0.588cm,已处于窒息高危状态。


病例二:反复喘息久治不愈,根源在于气管被“掐住”
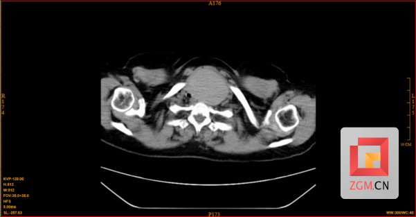
今年66岁的何阿姨,因“喘息、呼吸困难”就诊于呼吸与危重症医学科。经影像学检查发现,其甲状腺左叶存在一个约6.8cm的囊实性肿物,气管明显受压右移,最窄处仅约3.86mm,狭窄程度超过70%,同样面临极高的窒息风险。


高风险下的“拆弹”挑战
两例患者甲状腺肿物体积均达7至8cm,气管狭窄超过70%,手术风险极高,对医院综合救治能力提出严峻考验:
1.麻醉风险:气管严重变形,最窄处直径不足正常1/3,插管失败即面临窒息。
2.手术风险:肿物血供丰富,与周围组织粘连紧密,术中易出血;喉返神经受推移位,损伤风险高。
3.术后风险:气管长期受压软化,术后可能出现气管塌陷。
面对重重挑战,医院迅速启动急诊绿色通道,由甲状腺乳腺外科牵头,联合麻醉科、耳鼻咽喉头颈外科、重症医学科等多学科团队制定周密手术方案:
1.术前精准评估:彩超+CT精准定位病变大小及气管狭窄程度。
2.困难气道预案:麻醉科制定困难气道插管方案;耳鼻咽喉头颈外科全程备台,随时准备紧急气管切开。
3.精细手术操作:术中采用精细化被膜解剖,原位保留甲状旁腺+自体移植(遵循“1+X+1”原则),神经监测实时保护喉返神经,确保病灶完全切除。
4.术后快速康复:术后转入重症医学科,实现快速康复管理。
经过充分术前准备,最终,医务人员均在2.5小时内顺利为两位患者完成了手术,术中出血不足100ml,双侧喉返神经及甲状旁腺功能完整保留。患者术后呼吸困难即刻缓解,24小时内脱离监护,未出现声音嘶哑、手足麻木等并发症,经过后期康复,患者顺利出院。
专家提醒:甲状腺结节不可轻视
据主刀医生褚旭介绍:甲状腺结节不等于没事,长大就是定时炸弹!结节性甲状腺肿伴气管受压,可导致急性窒息的情况:在气管已极度狭窄时,轻微痰液即可完全堵塞气道;结节内出血或囊性变导致肿瘤体积突然增大;患者平卧或头部后仰时压迫加重。对于有明显压迫症状的结节性甲状腺肿,应积极考虑手术治疗,避免出现急性呼吸道梗阻等危及生命的并发症。
甲状腺乳腺外科主任岳璇弟表示,这两例危重患者的成功抢救,不仅充分彰显了多学科协作的显著优势,也体现了科室在处理复杂疑难甲状腺疾病方面的过硬实力,以及医院整体的综合救治水平。
专家介绍:

岳璇弟,自贡市第四人民医院甲状腺乳腺外科主任,主任医师。系自贡市优秀医学专家,盐都学术和技术带头人后备人选。
专业擅长:对乳腺增生、乳腺炎、乳腺肿瘤及甲状腺肿瘤早期诊断与治疗有丰富的临床经验,擅长乳腺微创手术、保乳及重建手术、甲状腺射频消融及乳腺癌和甲状腺癌的各种根治手术。
门诊时间:周一上午(南湖总院);周一下午(名医特需门诊);周二上午(檀木林院区)

褚旭,自贡市第四人民医院甲状腺乳腺外科主治医师/美容主诊医师。系四川省医学会乳腺病学专委会委员、四川省医促会乳腺肿瘤专委会委员等。
专业擅长:对乳腺癌术前新辅助治疗、年轻乳腺癌治疗与生育管理、哺乳期/非哺乳期乳腺炎诊治、甲状腺围手术期甲状旁腺功能保护、乳腺癌的全程管理等有丰富的临床经验,特别擅长早期乳腺癌染料法前哨淋巴结活检、乳腺肿瘤整形与乳房重建、超声引导下乳腺多发肿块微创旋切手术、输液港植入术、腔镜手术治疗男性乳房发育症、乳管镜检査及镜下治疗、经胶窝/经口腔前庭入路腔镜甲状腺手术、甲状腺良性结节热消融治疗技术等。
门诊时间:周一下午(南湖总院);周五上午(檀木林院区)
作者: 褚旭 何霞
编辑:李辉
责任编辑:张驰
编审:吴山冠

0